Elektronenmikroskopische (EM) Aufnahme

EM-Aufnahme einer tote Hyphe von Serpula lacrymans

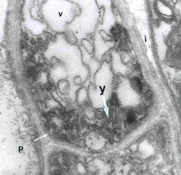
EM-Aufnahme einer tote Hyphe des Echten Hausschwammes (Serpula lacrymans)
v = Vakuole P = Plasmalemma
y = Membranringe i = Hyphenwand
Auf dieser Aufnahme ist ein wichtiges Merkmal "Höherer Pilze" zu erkennen: Ihre Hyphen sind regelmäßig septiert, das heißt von Querwänden unterbrochen. Eine derartige Septe ist zu erkennen. - zurück

Autor: T. Huckfeldt

Impressum, Datenschutz