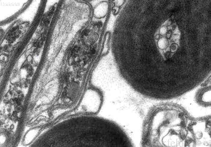
Elektronenmikroskopisches Bild von Faserhyphen im Querschnitt

Faserhyphen des Echten Hausschwammes (Serpula lacrymans)

Elektronenmikroskopisches Bild von Faserhyphen im Querschnitt (Durchmesser 2,5- 4,5 (-5) µm), gut zu sehen ist die sehr dicke Hyphenwand und das sehr kleine Lumen. Diese Hyphen sind ausdifferenziert immer abgestorben. - zurück

Autor: T. Huckfeldt

Impressum, Datenschutz